Invisalign consists of a series of clear aligners that moves your teeth to a perfect position with no need to have wires and braces in your mouth. Aligners are designed and fabricated using computer. Computer analyses the path of movement and let us view the end result before the treatment even starts.
The course of treatment involves changing aligners approximately every two weeks, moving your teeth into straighter position step by step.
An average Invisalign course of treatment can range from 5 to 16 months. You’ll visit our office every 2 to 8 weeks for adjustments and to check progress. At regular intervals, you’ll receive a new set of custom-molded clear aligners to continue the straightening process. The total number of clear aligners is specific to you,depending on the course of treatment.
Invisalign is offered for both teenagers and adults. Most of professional adults do not feel comfortable to have braces in their mouth for a long period of time.Invisalign is almost invisible, therefore most of your friends and c0-workers do not even notice you are wearing them. They are comfortable to wear and remove easily when you eat, brush, and floss. This means you have the freedom to eat and drink any food you want and follow oral hyienes in the best way.
Both braces and Invisalign can be used to treat;
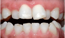
| Crowded teeth: This occurs when there is simply a lack of room within your jaw for all of your teeth to fit normally. When left untreated, overly crowded teeth can cause dental cavities, an increase in chances of gum disease, and can prevent the normal function of teeth. |
![]() |
![]() |
Spaced teeth: This occurs with abnormal continued growth of the jaw bone. When teeth are missing, this issue can also be caused by the other teeth shifting due to extra space. Spacing issues in teeth can cause some gum diseases. |
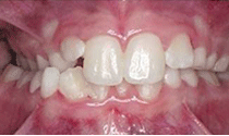
| Crossbite: This occurs when the upper and lower jaws are both misaligned. It causes one or more upper teeth to bite on the inside of the lower teeth, and can happen on both the front and/or the sides of the mouth. This issue can cause wear of the teeth, gum disease, and bone loss. |
![]() |
![]() |
Overbite: It occurs when the upper teeth bite over the lower teeth. It’s typically caused by either genetics, bad oral habits, or over development of the bone that supports the teeth. This issue can lead to gum problems or irritation, and/or wear on the lower teeth and can cause painful jaw and joint problems. |
| Underbite: This occurs when the lower teeth protrude past the upper front teeth. It’s usually caused by undergrowth of the upper jaw, overgrowth of the lower jaw, or both. It can also be caused by missing upper teeth. This issue can prevent the normal function of front teeth or molars which can lead to tooth wear. It can also cause painful jaw and joint problems. |





